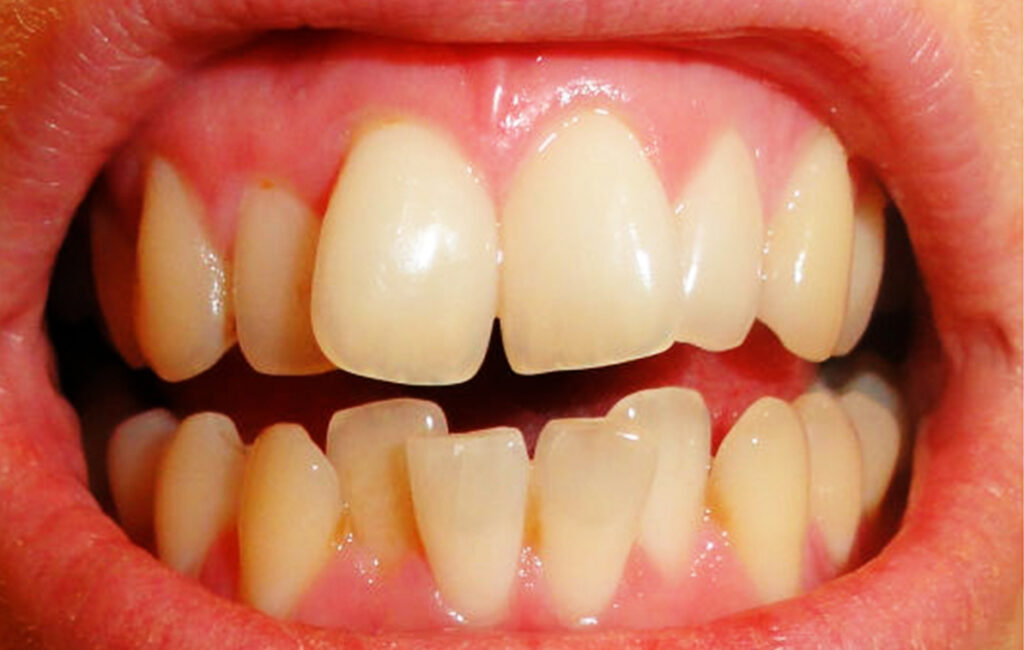
Ağızda yer alan dişlerin düzenli bir hizalamada olmaması durumudur. Bu durum genellikle dişlerin birbirine sıkışması, üst üste binmesi veya yanlış hizalanmasından kaynaklanır. Çapraşık diş, estetik kaygıların yanı sıra ağız sağlığını olumsuz etkileyebilir. Dişlerin düzgün bir şekilde temizlenmesi zorlaşabilir, bu da çürükler ve diş eti hastalıklarına yol açabilir. Ayrıca, çiğneme, konuşma ve çene yapısında problemler yaratabilir. Bu yazıda nedenlerini, etkilerini ve tedavi seçeneklerini ele alacağız.

Çapraşık Diş Tedavi Seçenekleri
Çapraşık diş tedavisinde çeşitli yöntemler bulunmaktadır. Bu yöntemler, dişlerin hizalanma durumuna, hastanın yaşına ve genel ağız sağlığına göre değişiklik gösterebilir. İşte tedavisinde kullanılan başlıca yöntemler:
Ortodontik tedavi, çapraşık diş düzeltilmesinde en yaygın kullanılan yöntemdir. Metal, seramik veya şeffaf braketler kullanılarak dişler yavaşça hizaya getirilir. Braketler, dişlerin üzerine yapıştırılır ve dişleri doğru pozisyona yönlendiren teller aracılığıyla çalışır. Ortodontik tedavi genellikle birkaç ay ile birkaç yıl arasında sürer. Tedavi süresi, çapraşıklığın derecesine bağlı olarak değişir.
Invisalign, dişleri düzeltmek için kullanılan şeffaf plaklardan oluşan bir tedavi yöntemidir. Bu plaklar, dişlerin üzerine oturur ve dişleri yavaşça hizalar. Invisalign, özellikle estetik kaygıları olan yetişkinler için popüler bir seçenektir. Şeffaf plaklar, braketlerden farklı olarak neredeyse görünmezdir ve çıkarılabilir olması sayesinde yemek yerken ve diş temizliği yaparken rahatlık sağlar.
Çapraşık diş tedavisinde bazen diş çekimi gerekli olabilir. Dişlerin birbirine çok yakın olduğu durumlarda, dişlerin hizalanabilmesi için fazla dişler çekilebilir. Diş çekimi genellikle ortodontik tedavi ile birlikte uygulanır ve çapraşıklığın derecesine bağlı olarak planlanır.
Ciddi çene gelişim bozuklukları durumunda, tedavide cerrahi müdahale gerekebilir. Ortognatik cerrahi adı verilen bu prosedür, çene yapısının düzeltilmesine yardımcı olur ve dişlerin daha düzgün hizalanmasını sağlar. Bu tedavi genellikle ortodontik tedavi ile birlikte uygulanır.
Ortodontik tedavi sonrasında dişlerin yeni pozisyonlarını korumak için retainer adı verilen cihazlar kullanılır. Retainerlar, dişlerin eski pozisyonlarına dönmesini engeller ve tedavi sonuçlarının kalıcı olmasına yardımcı olur.
Genellikle genetik faktörlere bağlıdır. Aile geçmişinde çapraşık diş tipine sahip bireyler varsa, bu durum çocuklarda da görülebilir. Ancak genetik faktörler tek neden değildir. Çenenin aşırı büyük veya küçük olması, dişlerin düzgün hizalanamamasına neden olabilir. Süt dişlerinin erken kaybı, kalıcı dişlerin yanlış pozisyonda çıkmasına neden olabilir. Uzun süreli emzik kullanımı, parmak emme gibi alışkanlıklar dişlerin hizalanmasını etkileyebilir. Dişlerin birbirine çok yakın veya sıkışık olması, çapraşık diş tipine yol açabilir.